
Quick‑Read: What a New MRI Study Tells Us About COVID‑19 and the Brain
Samba TreeShare
Researchers in Germany used artificial‑intelligence (AI) software to scan the brains of people who had recovered from COVID‑19. Here are the big take‑away.
1. Who Was in the Study?
-
155 adults total
-
51 had mild or symptom‑free COVID‑19
-
48 had severe COVID‑19 that required a hospital stay
-
56 were healthy people who never had COVID‑19 (the “control” group) PubMed
-
2. What Did the Scientists Do?
-
Everyone got the same type of brain MRI.
-
An AI program measured the size (volume) of different brain areas down to the milliliter. PubMed
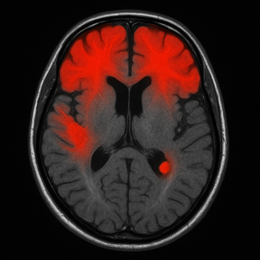
3. Key Findings (Plain Language)
Group | What Happened to Brain Size?* |
---|---|
Healthy controls | Normal baseline |
Mild COVID‑19 | Small drop in gray‑matter volume |
Severe COVID‑19 | Bigger drop—the worst shrinkage |
* The most affected regions were the thinking‑and‑planning frontal lobe, the sensory‑processing parietal lobe, and a relay hub called the right thalamus. PubMed
4. Why Does This Matter?
-
More severe illness = more brain shrinkage.
-
The changes were still there months after recovery, even for patients who were never in intensive care.
-
Brain shrinkage in these areas can be linked to problems with memory, focus, and mood. PubMed
5. What the Study Doesn’t Prove
-
It doesn’t show that everyone who gets COVID‑19 will lose brain volume.
-
It can’t say whether the shrinkage is permanent or if the brain can heal over time.
-
It doesn’t test whether vaccines, medicines, or lifestyle changes could protect the brain—future studies have to answer those questions.
6. Take‑Home Tips
-
Protect yourself and others. Avoid infection where you can—your brain may thank you.
-
Monitor your mind. If you had COVID‑19 and notice lingering brain fog or mood changes, talk to a healthcare professional.
-
Support brain health daily. Regular exercise, quality sleep, balanced nutrition, and stress management are still the best “brain boosters” we know.
👉 Read the full scientific article here: Brain Volume Changes after COVID‑19 Compared to Healthy Controls(open‑access).